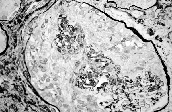
Wegener granulomatosis, glomerulus, Jones silver stain
Click picture to enlarge. Close window to return

ANCA positive crescentic glomerulonephritis - micro, silver stain for basement membrane - the crescent and collapsed capillary tuft are better visualized.