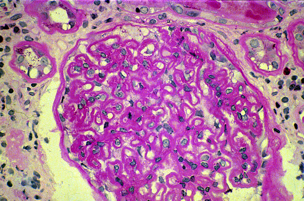
Lupus nephritis, Class V, PAS stain
Click picture to enlarge. Close window to return
Pure membranous
glomerulonephritis
. The thick "wire-loop" capillaries are characteristic.