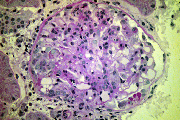
Lupus nephritis, Class III
Click picture to enlarge. Close window to return
Focal mesangioproliferative
glomerulonephritis
(Lupus class IV, diffuse
lupus nephritis
, will look the same when examining just one
glomerulus
).