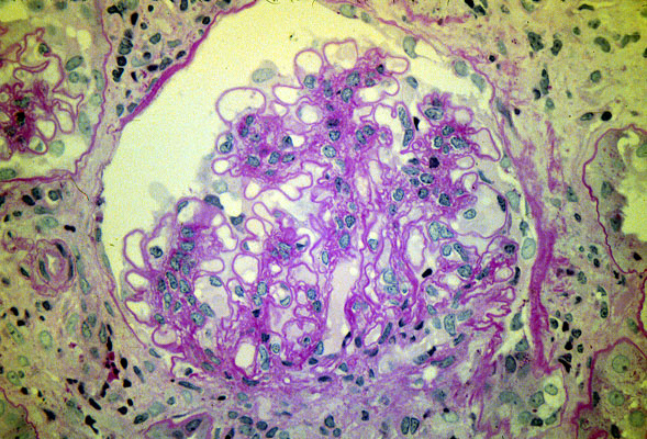
Lupus nephritis Class II
Click picture to enlarge. Close window to return

Mesangium is expanded and hypercellular.