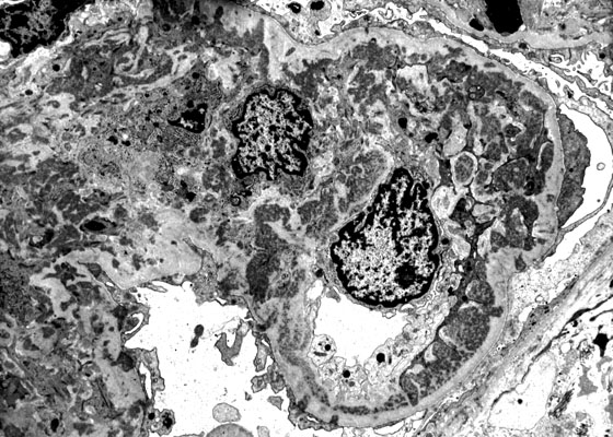
Membranoproliferative glomerulonephritis, EM
Click picture to enlarge. Close window to return

Electron microscopy - dense, immune complex deposits inside and outside a glomerular capillary.