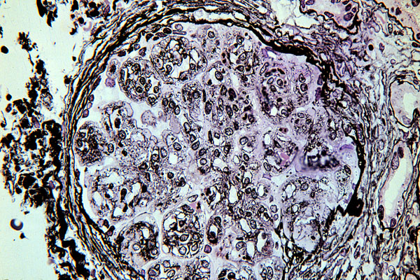
Membranoproliferative glomerulonephritis, Jones silver stain
Click picture to enlarge. Close window to return

Micro, silver stain for basement membrane - duplication of the capillary basement membrane and inflammatory cells are closing down capillary lumens.