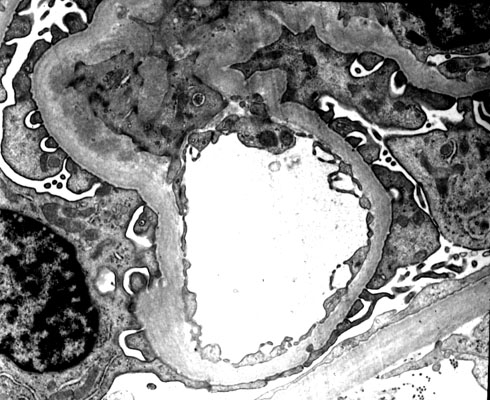
IgA nephropathy (a mesangioproliferative glomerulonephritis), EM
Click picture to enlarge. Close window to return

The glomerular mesangium is increased in thickness and cellularity