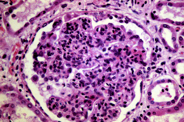
Acute postinfectious glomerulonephritis (acute proliferative glomeruloneph
Click picture to enlarge. Close window to return

Glomerular capillaries are filled with neutrophils, monocytes and neutrophils.