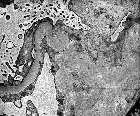
Amyloidosis, EM
Click picture to enlarge. Close window to return

Amyloid fibrils can be seen in deposits (arrow).