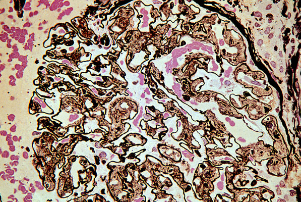
Amyloidosis, Jones stain
Click picture to enlarge. Close window to return

Micro, silver stain for basement membrane - amyloid stains muddy brown, basement membrane is black.