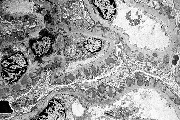
Membranous glomerulonephritis, EM
Click picture to enlarge. Close window to return

Electron micrograph - rows of dense immune complex deposits on the outside of the glomerular capillary basement membrane are evident.