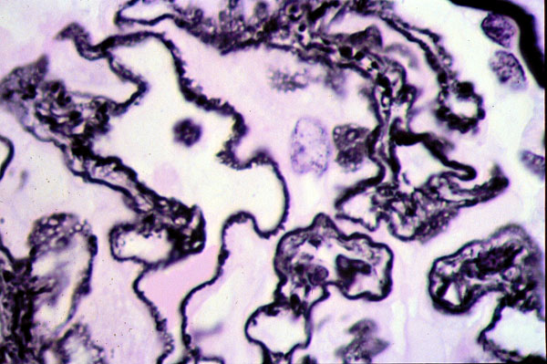
Membranous glomerulonephritis, Jones stain, high power
Click picture to enlarge. Close window to return

Jones silver stain for basement membrane - basement membrane extension between immune complex deposits is evident.