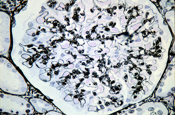
Membranous glomerulonephritis, Jones silver stain
Click picture to enlarge. Close window to return

Micro - although it is called a glomerulonephritis, this disease is usually not inflammatory. The apparently thickened capillary basement membranes, which stain black with the Jones stain, are in fact a combination of basement membrane, immune complexes and epithelial cells.