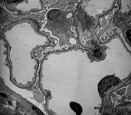
Minimal change nephrotic syndrome, EM
Click picture to enlarge. Close window to return

Electron micrograph - two glomerular capillaries and parts of a few others are present, the injury to the epithelial cells is manifest morphologically by effacement of foot processes.