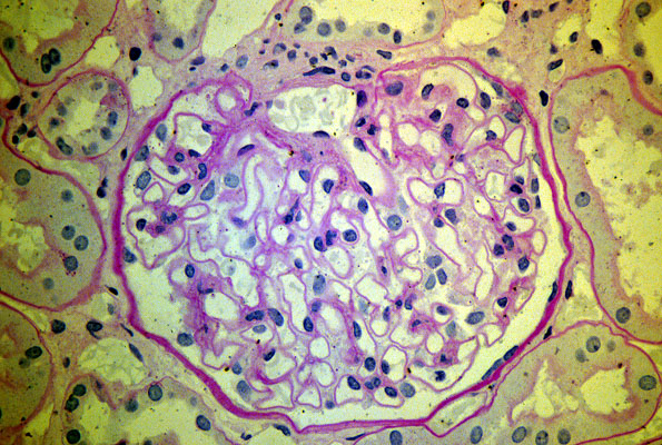
Minimal change nephrotic syndrome, PAS
Click picture to enlarge. Close window to return

Micro - the glomerular basement membrane permeability to albumin is increased but the glomerulus appears normal by light microscopy.