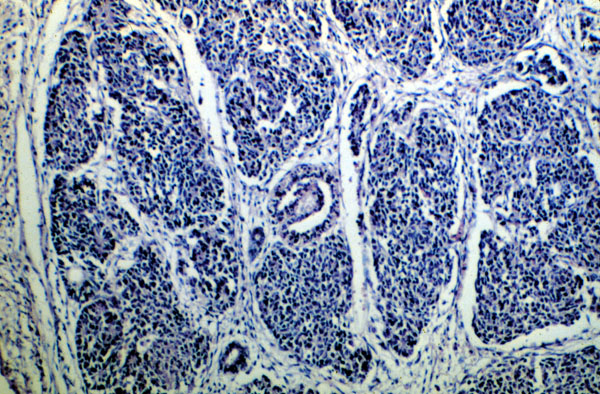
Nephroblastoma (Wilms tumor), photomicrograph, H&E
Click picture to enlarge. Close window to return

Small blue tumor cells with poorly formed glomerular and tubular structures are typical.