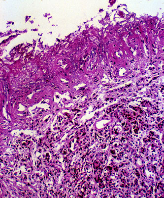
Pseudocyst, H&E.
Click picture to enlarge. Close window to return

No lining epitheilum.