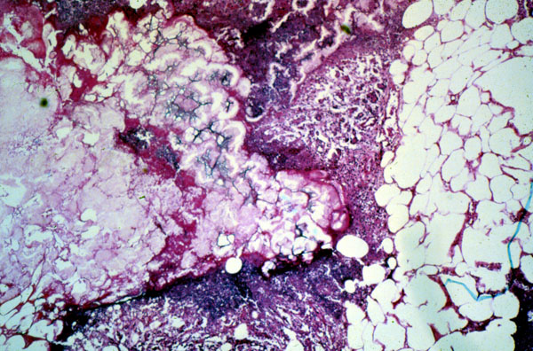
Acute hemorrhagic pancreatitis, H&E.
Click picture to enlarge. Close window to return

--