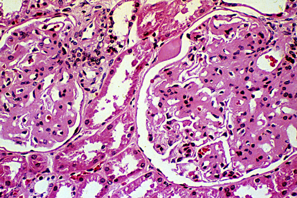
Diabetic nephropathy, H&E.
Click picture to enlarge. Close window to return

Diffuse BM thickening with tear drop.