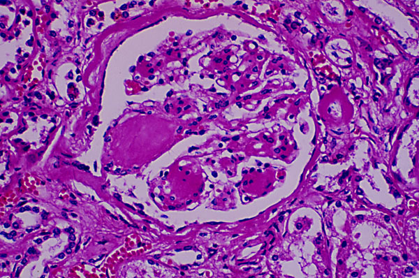
Diabetic nephropathy, H&E.
Click picture to enlarge. Close window to return
Nodular sclerosis (Kimmelstiel-Wilson) with mesangeal
hyperplasia
.