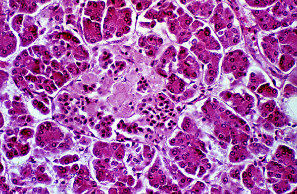
Pancreatic islet in type 2 diabetes (amyloidosis).
Click picture to enlarge. Close window to return

It is a common finding in elderly type 2 diabetics.