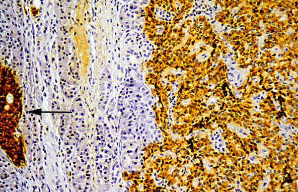
Insulinoma, immunostained for insulin.
Click picture to enlarge. Close window to return

Normal islet (left) is darkly stained whereas insulinoma cells are weakly stained for insulin.