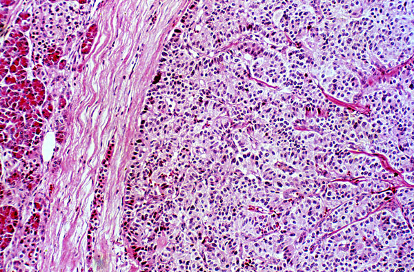
Insulinoma, H&E.
Click picture to enlarge. Close window to return

Tumor cells of clear cystoplasm with pushing margins.