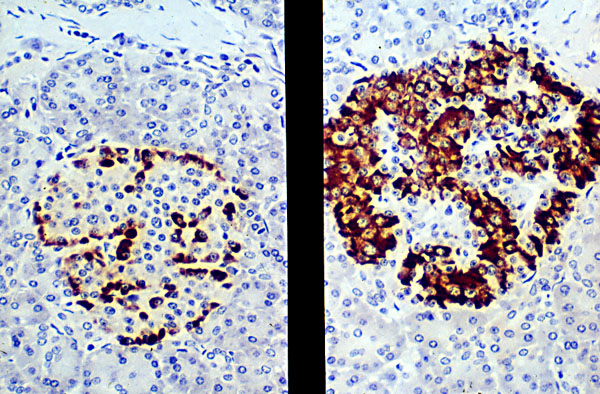
Normal islet, immunostained.
Click picture to enlarge. Close window to return

Left- anti-insulin, Right- anti-glucagon.