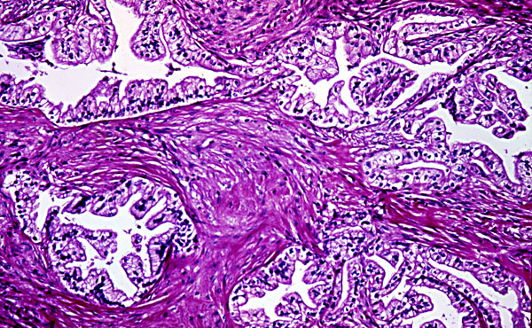
Adenocarcinoma of pancreas, H&E.
Click picture to enlarge. Close window to return
Columnar ductal
adenocarcinoma
.