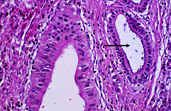
Adenocarcinoma of pancreas, H&E.
Click picture to enlarge. Close window to return

Cancerous duct contrasted with normal duct (arrow). Note deranged epithelium.