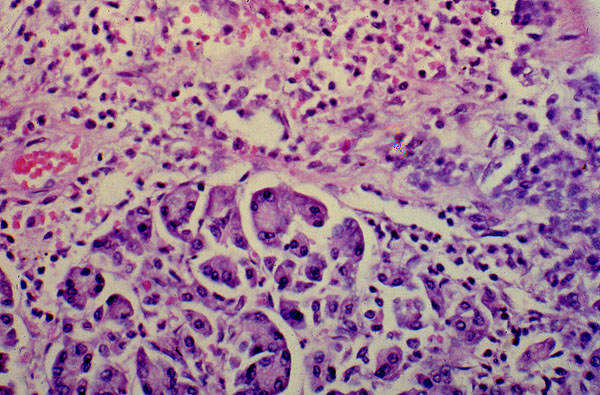
Acute edematous or interstitial pancreatitis, H&E.
Click picture to enlarge. Close window to return

Neutrophilic infiltrates in the interstitium.