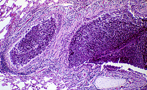
Lung in cystic fibrosis, H&E.
Click picture to enlarge. Close window to return

Mucopulurent material in bronchial lumen, bronchitis and peribronchitis.