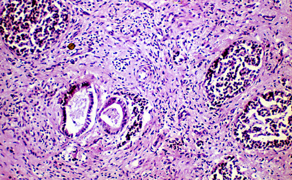
Pancreas in cystic fibrosis, severe degree, H&E.
Click picture to enlarge. Close window to return

Interstitial fibrosis sparing islets.