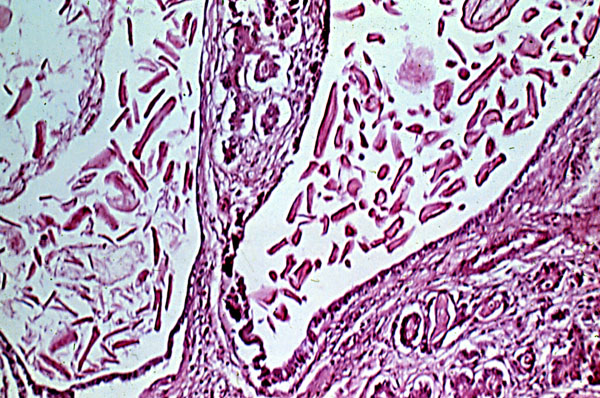
Pancreas in cystic fibrosis, moderate degree, H&E.
Click picture to enlarge. Close window to return
Cystic dilation of pancreatic duct and acinar cell
atrophy
.