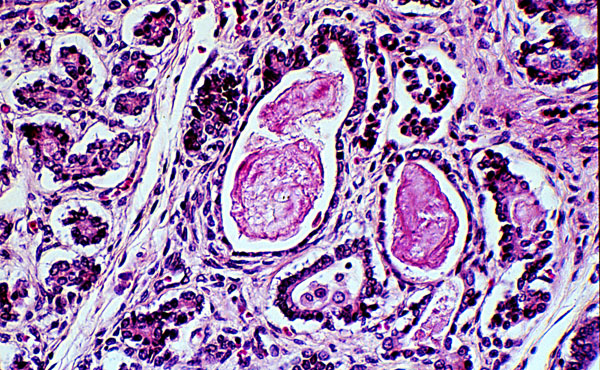
Pancreas in cystic fibrosis, H&E.
Click picture to enlarge. Close window to return
Intraductal, amorphous inspissates and acinar cell
atrophy
.