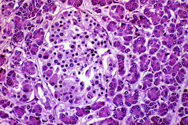
Normal pancreas, H&E.
Click picture to enlarge. Close window to return

Acinar cells and Isle of Langerhans.