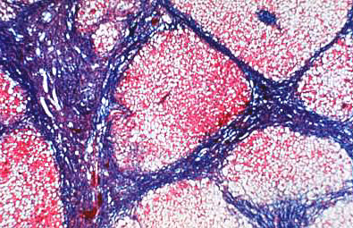
Cirrhosis, histology
Click picture to enlarge. Close window to return

This trichrome stained section shows prominent fibrous septa (blue). The liver cells show fatty change.