Cirrhosis, histology
Click picture to enlarge. Close window to return

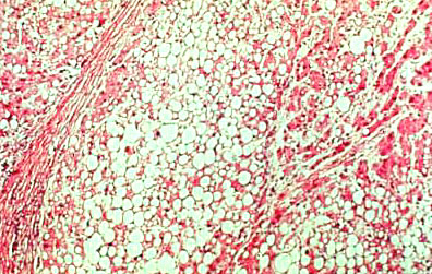
The normal architecture of the liver has been lost. Strands of connective tissue divide the parenchyma into irregular pseudolobules. Note the fatty change of the liver cells, which have clear cytoplasm.