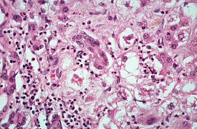
Alcoholic hepatitis
Click picture to enlarge. Close window to return

Note the acute inflammatory cells, mallory hyalin and bile stasis.