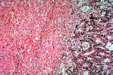
Metastatic carcinoma
Click picture to enlarge. Close window to return

Adenocarcinoma metastatic to the liver. This is a metastasis from a colonic primary.