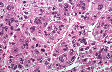
Hepatoma
Click picture to enlarge. Close window to return
Tumor
cells are arranged in trabeculae. Note the ground glass appearance of tumor cells indicating protein synthesis (?
Fibrinogen
)