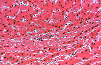
Hepatocellular adenoma
Click picture to enlarge. Close window to return

The tumor cells resemble normal hepatocytes from which they are separated by a fibrous capsule.