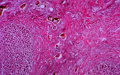
Secondary biliary cirrhosis
Click picture to enlarge. Close window to return

The fibrous septa surrounding the liver cell nodules contain dilated bile ducts filled with brown bile.