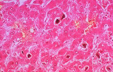
Biliary obstruction, histology
Click picture to enlarge. Close window to return
The intrahepatic ductules are dilated with stagnant
bile
.