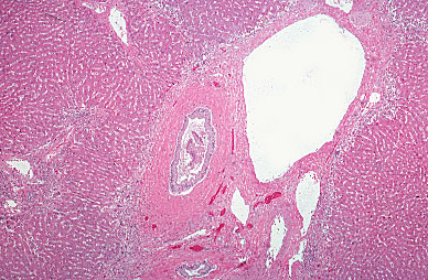
Primary sclerosing cholangitis, histology
Click picture to enlarge. Close window to return

There is concentric layering of collagen around larger bile ducts in the liver parenchyma.