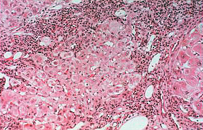
Primary biliary cirrhosis, histology
Click picture to enlarge. Close window to return

The connective tissue septa surrounding the nodules contain no bile ducts.