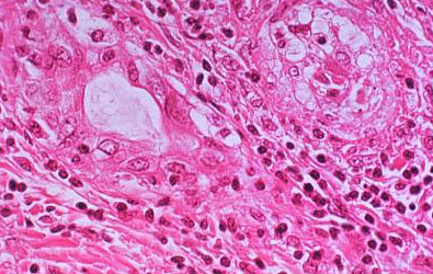
Primary biliary cirrhosis, histology
Click picture to enlarge. Close window to return

The portal tract contains inflammatory cells destroying the bile ducts.