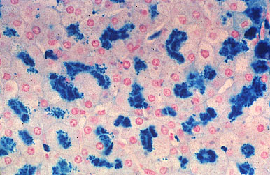
Hereditary hemochromatosis, histology
Click picture to enlarge. Close window to return

In this slide hemosiderin appears blue due to the Prussian blue reaction.