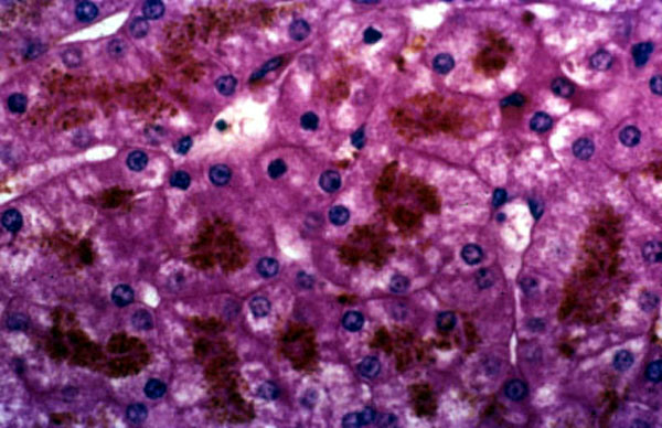
Hereditary hemochromatosis, histology
Click picture to enlarge. Close window to return
The liver cells contain
hemosiderin
.