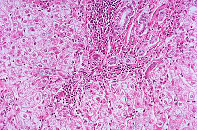
Chronic active hepatitis, histology
Click picture to enlarge. Close window to return

There is active intralobular inflammation.