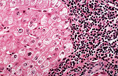
Chronic persistent hepatitis, histology
Click picture to enlarge. Close window to return

The infiltrate of mononuclear cells is limited to the portal tract and the limiting plate is sharply outlined.