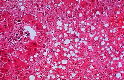
Massive necrosis of the liver, histology
Click picture to enlarge. Close window to return

Large portions of the lobule are lost and only small groups of periportal liver cells are preserved.