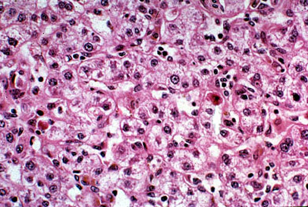
Viral hepatitis, histology
Click picture to enlarge. Close window to return

This is widespread intralobular inflammation. Note prominent Kupffer cells and an acidophilic body (arrow).