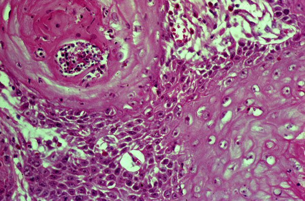
Squamous cell carcinoma of the esophagus
Click picture to enlarge. Close window to return

The tumor consists of nests of epithelial cells which focally form concentric hyperkeratotic pearls.